What Is Limb Lengthening or Height Surgery?
Date
August 21, 2025
Credits

Date
August 11, 2025
Credits
Medical providers featured in this article

In Brief
{{cta-block}}

“Dad, you’re going in circles. You can’t walk straight!”
Guy Natale, MD, a general practitioner in Arcadia, had a left leg that was 2 inches shorter than his right.
“It became a kind of family joke,” he said.
But it was no joke to Natale himself.
“You can’t fix that kind of difference with a shoe insert,” he said. “It won’t fit. It’s too big.”
Instead, Natale had to have special shoes made to order, with the left shoe having 2 inches added to the bottom of the sole.
“I’d go for walks around the neighborhood, and I’d be thinking, ‘Oh, gee, I’ve got to lift this brick for another half a mile or something,’” he recalled. “And I’m not a very vain person, but, you know, I would always try to cover up my foot so no one would see it.”
Natale wasn’t born with a shorter leg. Ankle injuries over years of playing football, baseball and racquetball led to his left ankle being fused at age 51. The resulting discrepancy in the length of his legs led to scoliosis and severe back pain. At age 71, he had five vertebrae fused. The operation helped with his back pain but made the difference in the lengths of his legs even worse.
“I stopped doing some of the things I love to do,” he said, “like hiking in the scenic hills around Altadena. I just didn’t want to carry that boot around.”
In response to Natale’s frustration, his back surgeon suggested something unusual. Maybe he could have his leg lengthened.
“I just looked at him with my mouth open,” said Natale. “Lengthen my leg! Is that really possible?”
“I’m a doctor, and I had no idea this was even possible. I’m sure there are lots of people out there—people who’ve been in a car accident or have cancer or something—who could really benefit from this procedure. I just hope they find out about it.”
What Is Limb Lengthening?
For those born with skeletal dysplasia, who have one limb that’s longer than another, or who’ve suffered serious bone damage in an accident or from cancer, a leg or arm can be reconstructed using a specialized surgery called distraction osteogenesis, or limb lengthening.
This procedure is also becoming more popular for people who just want to be taller. Studies have found that for men, in particular, being taller is correlated with higher earnings and self-confidence, better health, more education, and being more attractive to potential romantic partners.
Natale was referred to orthopedic trauma surgeon Geoffrey Marecek, MD, director of Cedars-Sinai’s Orthopaedic Limb Reconstruction Program and a nationally recognized expert in limb lengthening.
“I walked into his office,” recalled Natale, “and he said, ‘So, you want to be taller.’ I said, ‘No, I’m 72. I don’t want to be taller. I just want to be even on both sides.’”
“Growing the leg 2 inches is very doable,” said Marecek. “And age is not an issue. I’ve treated massive bone defects in 75-year-olds. The process of regrowing bone works well in septuagenarians, even octogenarians, when it’s done carefully and well.”
{{providers}}
How Limb Lengthening Works
The limb-lengthening procedure was invented in the 1950s by Gavriil Ilizarov, an orthopedic surgeon in a regional hospital in Siberia. He discovered that if you break a patient’s bone and very slowly pull the two sides apart, new bone will grow to fill the gap.
Ilizarov’s original lengthening device was placed around the leg and connected to the bone with screws and wires. More recently, the use of rods placed inside the bone has made the procedure much less cumbersome and prone to infection, but the basic principle remains the same.
The Four Phases of Limb Lengthening

- First, the surgeon breaks the bone to be lengthened. “We don’t saw through it,” explained Marecek. “We very gently perforate it and then use a small chisel to break it up so that the soft tissues around it aren’t damaged.” Once the bone is broken, a titanium rod is inserted into it and screwed in place. For more complex reconstruction, a device similar to the one Ilizarov developed is sometimes used to connect to the bone from outside the leg.
- The next phase is called the latency period, when the limb is left alone to start its fracture repair.
- During the “distraction”—or lengthening—phase, the rod or external device starts pulling the two sides of bone apart. This is done in extremely small increments—usually a quarter of a millimeter four times a day. (For reference, 1 millimeter equals about 3/64 of an inch.) The patient is responsible for operating the device themselves, either by using a remote to activate the rod inside the bone or by cranking the external device by hand.
- Lengthening rods are not currently weight bearing, though stronger rods are pending approval by the U.S. Food and Drug Administration. This means patients must use crutches or a wheelchair during the lengthening phase. Once the lengthening goal is reached, the rod is removed and replaced with one that can’t lengthen but can support the patient’s weight.
Read: Treat Hip Dysplasia Before You Need a Complete Replacement
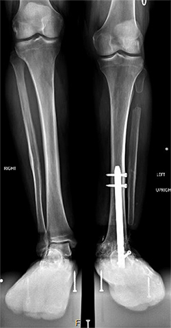
The operation took place in November 2022. Because Natale’s ankle was fused, Marecek chose to lengthen Natale’s tibia, or shin bone, rather than his femur. Marecek also identified that Natale’s ankle had been fused out of alignment. So, first he corrected the ankle’s alignment, then he broke Natale’s tibia and inserted a distraction rod—the kind that could push the two sides of the broken bone apart.
“I remember it was in the afternoon, and I woke up after the surgery and there was no pain,” said Natale. “It was outpatient, so my wife took me home that night.”
The lengthening started about two weeks after surgery with a device about the size of a large iPhone.
“You just place it right on your leg and push a button, and for about 10 seconds it extends the post inside the bone just a tiny amount, about a millimeter a day,” Natale explained. “That’s it. In about a month, it was done.”
Natale could not put any weight on the leg for three months. After that the distraction rod was removed and replaced by a weight-bearing rod.

How Much Taller Can You Get?
“For people who choose elective height surgery, there’s no hard-and-fast rule on how much taller you can get,” said Cedars-Sinai orthopedic surgeon Charles Moon, MD. “You can definitely make legs 10% longer. When you’re replacing bone in a limb reconstruction, you can add even more than that.”
In other words, a patient who is 5 feet tall, or 60 inches, could be made to be at least 5 feet 3 inches tall.
The problem, according to both Moon and Marecek, is the muscles and nerves must also lengthen to accommodate the new bone. That requires many hours of intensive physical therapy, which begins with the procedure and continues for many months after the lengthening is complete. That is true for all limb reconstruction, whether it’s for medical or cosmetic purposes.
Significant lengthening will also weaken muscles.
“I remember an orthopedic surgeon telling me he was approached by a college basketball player,” said Moon. “‘If you make me 7 feet tall,’ the player said, ‘I can play in the NBA.’
“‘I can make you 7 feet tall,’ said the surgeon, ‘but you won’t be able to jump.’”
How Long Does Limb Lengthening Take?
The amount of time the process takes depends on the amount of lengthening and whether more than one limb is involved. Since the rods are not weight bearing, sometimes legs are lengthened separately, which increases the overall time it takes.
For simple limb lengthening, Moon and Marecek agreed patients should anticipate a full year for the new bone to be completely healed. For more complicated limb reconstruction, the process can take up to two years.
Natale says he had to do a lot of physical therapy, stretching the muscles to make space for the longer leg bone. It was about six months before Marecek gave him the go-ahead to put his full weight on it. Even after a year, X-rays showed the bone still hadn’t completely filled in the gap around the rod in his tibia.
“That may have something to do with my age,” Natale said. “Younger patients would probably make bone faster.”
Read: How Some Sports Injuries Can Cause Arthritis at an Early Age
Is Limb Lengthening Safe?
The basic limb-lengthening procedure is relatively routine, says Marecek, but a number of serious complications can arise if it is not handled with care by experienced surgeons and physical therapists.
“During the lengthening, or distraction, phase,” he said, “we see patients every one to two weeks to make sure the bone is growing in correctly.”
Even though patients are intensively engaged in physical therapy throughout the process, they can get muscle contractures—when the muscles shorten and stiffen—or nerve irritation. Then, the lengthening process has to be slowed.
“We also have to slow down if people aren’t making bone as well as we want,” said Marecek. “Or sometimes, if people are making bone too well, we have to speed up. So, it’s a very dynamic process.”
Infection is also a concern, particularly with the external devices, because they penetrate the skin and bone from the outside.

Back on the Hiking Trail
Natale didn’t suffer any complications from his limb lengthening.
“I’m just so happy I did the whole thing,” he said. “I’ve had no issue with that leg at all. I don't have pain in it, and I walk so much better now than I did before.”
The recent devastating fire in Altadena has closed some of his favorite hiking trails, but he said things are starting to open up again, and he’s ready to take advantage.
“I’m a doctor, and I had no idea this was even possible,” he said. “I’m sure there are lots of people out there—people who’ve been in a car accident or have cancer or something—who could really benefit from this procedure. I just hope they find out about it.”
How Much Does Height Surgery Cost in the U.S.?
Limb reconstruction, like Natale’s, is covered by insurance plans. But for people who don’t have a medical need but simply want to be taller, the procedure is not covered by insurance, and it is expensive. Most American orthopedic surgeons who are experienced in these operations charge from $75,000 to over $200,000, depending on how many bones are being lengthened and by how much.
As a result, there has been a growth in medical tourism to Turkey, India and other countries where the surgery is performed at a lower cost. However, Marecek cautions that most of his cosmetic limb-lengthening work now involves patients who had their surgery to get taller outside the U.S. and have returned with severe complications.
“I’ve had to fix surgeries for people who have infections in the bone or are missing bone in the gaps,” said Marecek. “I’ve seen bone that’s bent or too weak to properly support the patient as well as joint contracture, when the joint becomes stiff and won’t move properly.”
Despite the extra cost, Marecek and Moon both recommend that people who feel strongly that they want to be taller should consider getting their height surgery done by expert surgeons in the U.S.
“We’ve got people who are extraordinarily experienced at Cedars-Sinai,” said Marecek. “And we’ve got a multidisciplinary team in place, including plastic surgeons, nerve surgeons, vascular surgeons and infectious disease doctors. All of them are very comfortable working together to get patients through these kinds of challenging procedures. And we do a lot of it.”






